基本情况
第1次脑出血(2016.06.07)
患者:女性,69岁。突发左侧肢体无力6小时入院。既往无高血压、糖尿病病史。
查体:嗜睡,精神萎,呼唤睁眼,自主体位,言语清楚,对答切题,GCS14分,查体合作。双瞳等大等圆,左:右=2.5 mm:2.5 mm,光反射存在。左上肢肌力1级,左下肢肌力3级,右侧肢体肌力5级,肌张力正常。
入住神经内科。2016.06.09 CT示出血量约35 ml。
2016.06.09 CT
第2次出血(2021.04.23)
患者:女性,74岁。
主诉:左侧肢体麻木伴乏力9小时余。
现病史:浅昏迷,刺痛睁眼,可呻吟,GCS 8分,查体欠合作。双瞳等大等圆,左:右=2.5 mm:2.5 mm,光反射存在。左上肢肌力1级,左下肢肌力3级,右侧肢体肌力5级,肌张力正常。
入住神经外科。CT示出血量约150 ml。

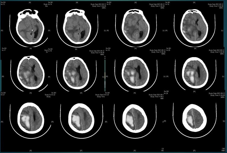
2021.04.23(发病第1天)CT
诊断与治疗
初步诊断
脑血管淀粉样变性(CAA)相关性脑出血(CAAH)?
诊断依据
CAAH病理基础:脑组织髓质和皮质中小动脉外膜和中层上沉积β-淀粉样蛋白。
CAAH发生部位:脑叶(一般不发生在壳核、丘脑、脑桥等高血压性脑出血的常见部位)。
CAAH特点:数月或数年之后有再出血倾向,甚至不同部位同时发生血肿。尽管CAAH常严重累及软脑膜血管,但与CAA相关的原发性蛛网膜下腔出血非常少见。
CT在诊断CAAH上缺乏特异性,可有以下一些表现:
·皮层或皮层下的一个或多个大小不等的出血灶,可处于不同的部位和阶段;
·出血形状不规则,常呈分叶状或多腔状、指套状;
·可见血肿腔内液体样低密度灶,多为该部位之前曾有出血导致的软化灶或脑脊液灌入血肿腔所致;
·部分患者可有脑室出血;
·增强后血肿周边呈现环状强化,可持续两周。
对于皮质下表浅部位的局限于脑叶的多发性出血,应考虑CAAH。
CAAH处理:CAAH的急性处理,与其他脑出血处理原则相同。必要时可行血肿清除或脑叶切除,但外科治疗应慎重,因淀粉样物替代了血管的中层结构,影响血管的收缩和止血过程,而易引起大出血。并发TIA或脑梗死患者,按缺血性卒中相应原则处理,但禁用抗血小板聚集药、抗凝药及溶栓药。
治疗计划
本病例患者家属拒绝手术治疗。予常规保守治疗。
治疗经过
患者入院后予复方甘露醇、甘油果糖等脱水治疗;醒脑静注射液治疗;使用盐酸乌拉地尔、盐酸艾思洛尔、硝苯地平缓释片等控制血压。
患者意识逐渐转差,并出现高热痰多,胸部CT见肺部感染,患者情况持续恶化。于2021.05.03行气管切开。先后使用莫西沙星注射液、美罗培南抗炎治疗。
2021.05.05(发病第12天):右瞳散大,GCS 3分。开始应用脑血疏口服液。

2021.05.05(发病第12天)CT
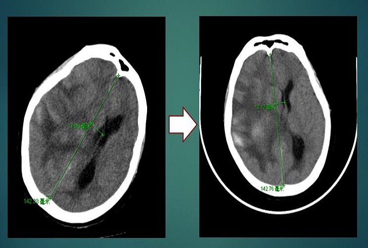
2021.05.12(用药7天):使用脑血疏口服液1周后,患者情况逐渐好转,右侧瞳孔较前缩小,刺痛肢体可屈曲,CT示血肿明显吸收,中线移位情况好转,17.98 mm→12.12 mm,GCS 3分→6分。

2021.05.12(用药7天)CT

2021.05.12(用药7天)CT示中线移位情况好转
2021.05.18(用药13天):转康复医院。
出院情况:患者GCS评分8分,呼唤睁眼、刺痛可定位,不能发音(气管切开)。双侧瞳孔,左侧直径2.0 mm,右侧直径2.5 mm,对光反射迟钝,右侧肢体肌力2级,左侧肢体肌力0级。开展常规康复治疗+脑血疏口服液。
病历小结
CAA相关性脑出血(CAAH)是一种少见脑血管疾病,约占原发性ICH的10%,是高龄老年人群原发性ICH,尤其是复发性原发性ICH的主要致病原因之一。临床上表现为老年人的多发性、复发性脑叶出血(RLH),在排除其他引起ICH的原因后,应考虑CAAH的可能。研究显示,复发性脑出血时间间隔为3.2±2.8年。
该例患者据首次脑出血5年后再发CAA出血,出血量巨大,患方拒绝手术而仅能行保守治疗。保守治疗过程中患者逐渐出现昏迷脑疝(右瞳散大)。原预计患者预后极差。
该病例初始使用脑血疏时间较晚(发病第12天),但使用脑血疏口服液后,颅内血肿吸收明显,血肿周围脑组织水肿有效减轻。患者安全度过脑水肿高峰期。脑疝症状逐渐缓解。
来源:神经时讯
作者 | 杨柳 南通大学附属医院
原文链接:https://mp.weixin.qq.com/s/RrkzR9PjKi-xqISzd9D93A